Turn on more accessible mode
Skip to main content
Turn off more accessible mode
Portal Prognozno-izveštajne službe zaštite bilja
Sign In
|
Niš
This Site
This List
Home
Terenski rezultati
Portal Prognozno-izveštajne službe zaštite bilja
>
Niš
>
Fotografije
>
Pseudotecije
>
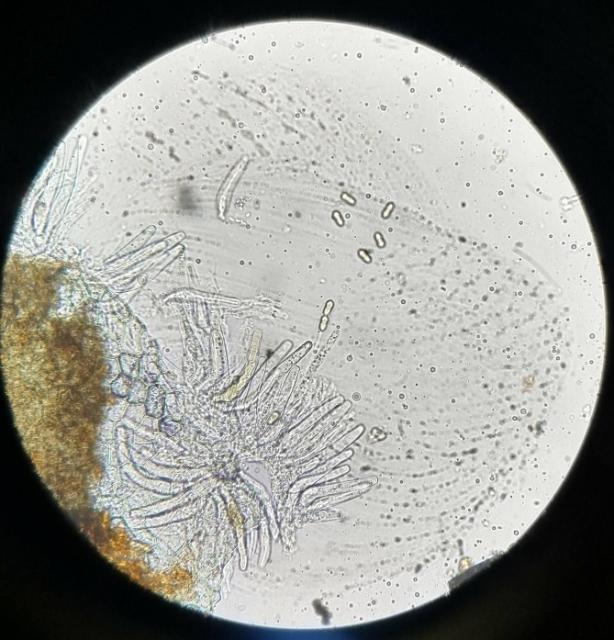
2-2026.pseudotecija sa askusima i askosporama
Fotografije
: 2-2026.pseudotecija sa askusima i askosporama
Pseudotecije
Name
2-2026.pseudotecija sa askusima i askosporama
Preview
Title
File Type
jpg
Picture Size
1338 x 1394
Date Picture Taken
Description
Keywords
Created at 14.3.2026 10:30 by RC Niš
Last modified at 14.3.2026 10:30 by RC Niš